Home > Services > Corrective Jaw Surgery > Before After Images
Corrective Jaw (Orthognathic) Surgery - Patient Results Gallery
Transformations You Can Trust
Every case you see here represents a real patient treated at Third Coast Oral Surgery—not stock photography or borrowed examples. These images highlight the remarkable functional and aesthetic changes made possible through orthognathic (jaw) surgery performed by our surgical team. Orthognathic surgery can restore proper bite alignment, improve facial balance, and enhance confidence. Our surgeons combine advanced planning technology, precision surgical techniques, and personalized care to deliver lasting, natural results. We’re proud to share these transformations, as each reflects our commitment to exceptional outcomes, patient safety, and genuine, life-changing results.
Orthognathic Case 1
In this case, the jaws were repositioned forward to correct a significant jaw imbalance. The surgery improved both bite function and facial harmony, enhancing chin projection and overall balance between the upper and lower face.
Orthognathic Case 2
For this patient, the upper jaw was advanced considerably. Note the improved fullness in the midface, softening of the chin, and natural smile. All of this was achieved with minimal effect on the nasal tip. Results like these can be achieved through precise surgical planning and coordinated orthodontic care.
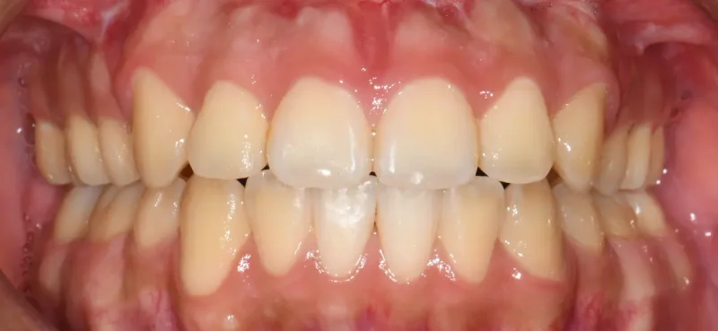
Orthognathic Case 3
One cause of a "gummy smile" is an upper jaw that is vertically too long, which can only be corrected through jaw surgery. This patient underwent an upper jaw impaction, and we were able to achieve a beautiful, natural result. Not only did we fix her gummy smile, but note her forward chin position and better neck soft tissue drape.
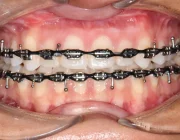
Orthognathic Case 4
Correction of both upper and lower jaw asymmetry. Upper jaw midline moved to the left, and the lower jaw midline was moved to the right all while advancing the upper jaw. This patient can now chew comfortably because her teeth actually FIT together.